
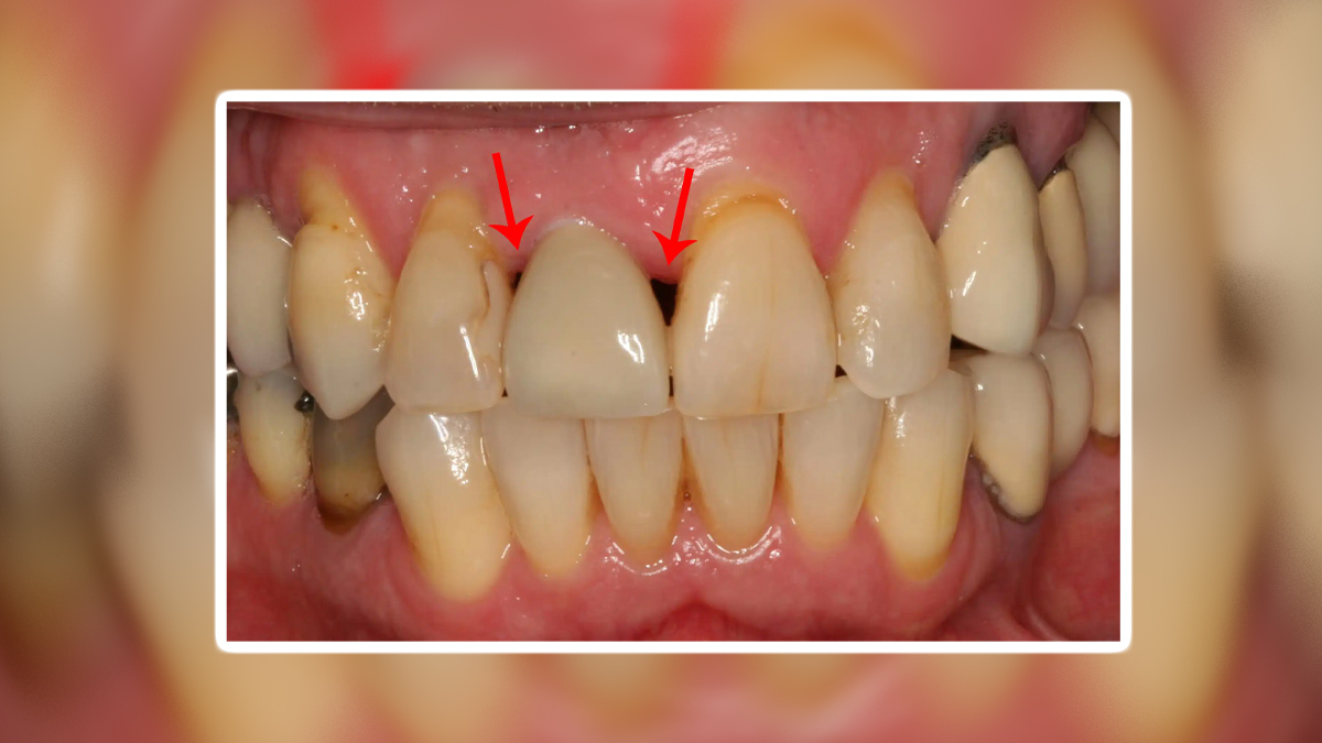
Black Triangle Between Teeth: कुछ भी खाने के लिए दांतों का स्वस्थ होना जरूरी है। अगर हम ओरल हेल्थ पर ध्यान नहीं देंगे, तो दांत जल्दी खराब हो जाएंगे। दांतों से जुड़ी समस्याओं को समझकर आप गंभीर रोगों से बच सकते हैं। ऐसी ही एक समस्या है जिसमें दांत के बीच काले दाग नजर आते हैं। दांतों के बीच में ब्लैक ट्राइएंगल (Black Triangle) एक सामान्य दंत समस्या है जिसे बहुत से लोग नजरअंदाज कर देते हैं। यह स्थिति तब होती है जब दांतों और मसूड़ों के बीच में खाली जगह बन जाती है, जो देखने में काले त्रिकोण के रूप में दिखाई देती है। इस समस्या का मुख्य कारण मसूड़ों का पीछे हटना या डैमेज के कारण होता है। इस लेख में हम ब्लैक ट्राइएंगल की कारण, लक्षण और इलाज के बारे में विस्तार से जानेंगे। इस विषय पर बेहतर जानकारी के लिए हमने लखनऊ के इन्दिरा नगर में स्थित शेखर डेंटल क्लीनिक के डॉ अनुभव श्रीवास्तव से बात की।
इस पेज पर:-
ब्लैक ट्राइएंगल के लक्षण- Black Triangle Between Teeth Symptoms

- सबसे स्पष्ट लक्षण है दांतों के बीच काले त्रिकोण का दिखाई देना।
- ट्राइएंगल दांतों की सुंदरता को भी प्रभावित करता है।
- दांतों के बीच इस खाली जगह के कारण खाने के कण आसानी से फंस जाते हैं।
- इससे मुंह में दुर्गंध और कैविटी की संभावना बढ़ जाती है।
- अगर यह स्थिति लंबे समय तक बनी रहती है, तो मसूड़ों में सूजन, दर्द ब्लीडिंग भी हो सकती है।
इसे भी पढ़ें- डायबिटीज होने पर जरूर फॉलो करें ये 5 डेंटल केयर आदतें, ओरल हेल्थ से जुड़ी समस्याओं से होगा बचाव
ब्लैक ट्राइएंगल के कारण- Causes of Black Triangle Between Teeth
- जैसे-जैसे उम्र बढ़ती है, शरीर के अन्य हिस्सों की तरह मसूड़े भी कमजोर होने लगते हैं। इससे मसूड़े पीछे हट सकते हैं और दांतों के बीच ब्लैक ट्राइएंगल बना सकते हैं।
- दांतों के चारों ओर मौजूद मसूड़े दांतों को सहारा देने का काम करते हैं। जब मसूड़े किसी कारण से पीछे हटते हैं, तो दांतों के बीच खाली जगह बन जाती है। यह मसूड़े पीछे हटने की प्रक्रिया ब्लैक ट्राइएंगल का मुख्य कारण है। मसूड़े सिकुड़ने के कई कारण हो सकते हैं, जैसे मसूड़ों की सूजन (गिंगिवाइटिस) या पीरियडोंटल बीमारी।
- अगर दांतों की सफाई ठीक से नहीं की जाती है, तो मसूड़ों में प्लाक और टार्टर जम सकता है। यह जमाव मसूड़ों को नुकसान पहुंचाता है और उसे पीछे हटने के लिए मजबूर करता है। फ्लॉस न करना और ब्रश करने की गलत तकनीक भी इसके कारणों में शामिल हैं।
- अगर दांत ठीक से एक दूसरे के साथ एलाइनमेंट में न हों या टेढ़े-मेढ़े हों, तो उसके बीच में जगह बन सकती है। यह जगह ब्लैक ट्राइएंगल के रूप में दिखाई देती है।
- कभी-कभी, अगर दांतों के बीच का स्पेस सही तरीके से भरा नहीं गया है या असमानता है, तो वह ब्लैक ट्राइएंगल का कारण बन सकता है। यह समस्या आमतौर पर ब्रेसेज़ हटाने के बाद होती है।
ब्लैक ट्राइएंगल का इलाज- Black Triangle Treatment
- दांतों की सफाई ब्लैक ट्राइएंगल से बचने का पहला कदम है। फ्लॉस का इस्तेमाल करना और सही तरीके से ब्रश करना मसूड़ों को स्वस्थ बनाए रखने में मदद करता है।
- फ्लॉस का इस्तेमाल करने से दांतों के बीच जमा प्लाक हट जाता है और मसूड़ों को पीछे हटने से बचा जा सकता है।
- डेंटिस्ट ब्लैक ट्राइएंगल को भरने के लिए फिलिंग या बॉन्डिंग तकनीक का इस्तेमाल कर सकते हैं।
- अगर मसूड़ों की समस्या ज्यादा गंभीर हो, तो डेंटिस्ट फ्लैप सर्जरी की सलाह दे सकते हैं। इस सर्जरी में मसूड़ों को फिर से अपनी जगह पर स्थापित किया जाता है।
- अगर ब्लैक ट्राइएंगल दांतों के गलत एलाइनमेंट के कारण बना है, तो ब्रेसेज या अलाइनर का इस्तेमाल किया जा सकता है। यह दांतों को सही स्थिति में लाने में मदद करता है।
- मसूड़े बहुत ज्यादा पीछे हट गए हों तो गम ग्राफ्टिंग का सहारा लिया जाता है, जिसमें स्वस्थ मसूड़े दूसरे हिस्सों से लेकर खाली जगह पर लगाए जाते हैं।
- ब्लैक ट्राइएंगल एक साधारण समस्या लग सकती है, लेकिन इसे नजरअंदाज करना खतरनाक हो सकता है। यह दांतों और मसूड़ों के स्वास्थ्य पर नकारात्मक प्रभाव डाल सकता है। सही देखभाल, नियमित जांच और उचित इलाज से इस समस्या को हल किया जा सकता है।
उम्मीद करते हैं कि आपको यह जानकारी पसंद आई होगी। इस लेख को शेयर करना न भूलें।
यह विडियो भी देखें
Read Next
क्या सांस लेते समय बच्चे के गले और सीने से घरघराहट की आवाज आना चिंता की बात है? जानें डॉक्टर से
How we keep this article up to date:
We work with experts and keep a close eye on the latest in health and wellness. Whenever there is a new research or helpful information, we update our articles with accurate and useful advice.
Current Version