
आमतौर पर दांतों पर होने वाले दाग-धब्बों का कारण गंदगी को माना जाता है। मगर कई बार दांतों पर होने वाले इन धब्बों का कारण दांत का कोई रोग भी हो सकता है। फ्लोरोसिस एक ऐसी ही समस्या है, जिसमें दांतों पर सफेद या भूरे धब्बे दिखने लगते हैं। इन धब्बों को पहचानकर अगर चिकित्सक से संपर्क करें तो इन्हें ठीक किया जा सकता है। फ्लोरोसिस कोई गंभीर समस्या नहीं है मगर ये आपकी मुस्कुराहट और हंसी की खूबसूरती को खराब कर सकता है क्योंकि हंसते समय आपके दांत दिखाई देते हैं और उनमें ये धब्बे नजर आते हैं।
इस पेज पर:-

क्यों होता है फ्लोरोसिस
8 साल से कम उम्र के बच्चों को ज्यादा फ्लोराइड वाला मंजन करवाने से उनके दांतों में फ्लोरोसिस की समस्या हो सकती है। दरअसल फ्लोराइड हमारे दांतों के लिेए एक जरूरी तत्व है जो इसे मजबूती देता है। आमतौर पर सभी टूथपेस्ट में फ्लोराइड का इस्तेमाल किया जाता है। मगर छोटे बच्चों के दांतों के लिए फ्लोराइड की ज्यादा मात्रा खतरनाक हो सकती है। इसलिए बाजार में बच्चों के लिए अलग टूथपेस्ट आते हैं, जिनमें फ्लोराइड की मात्रा कम होती है। ध्यान रखें अपने बच्चों को 8 साल की उम्र से पहले बड़े बच्चों वाला टूथपेस्ट न दें।
इसे भी पढ़ें:- सर्दियों में हाथ-पांव का ठंडा होना और कंपकंपी हो सकते हैं हाइपोथर्मिया का लक्षण, जानें इलाज
ज्यादा फ्लोराइड है खतरनाक
ज्यादा फ्लोराइड के इस्तेमाल से फ्लोरोसिस हो जाता है जिसमें दांतों का रंग हल्का हो जाता है या दांतों की सतह पर अनियमितताये पैदा हो जाती हैं । एक बार दांत पूरी तरह से विकसित हो जाता है तब उसपर ज्यादा फ्लोराइड का प्रभाव नहीं पड़ता। फ्लोरोसिस दांत की बीमारी से ज्यादा कॉस्मेटिक समस्या है। कई मामलों में यह इतना हल्का होता है कि इसे डेंटिस्ट हीं पहचान सकते हैं। पीने के पानी में पर्याप्त मात्रा में फ्लोराइड होने के बावजूद अगर बच्चे फ्लोराइड की अतिरिक्त खुराक (दवा या टूथ पेस्ट निगलने के रूप में लेते हैं) तो उन्हें फ्लोरोसिस हो सकता है।
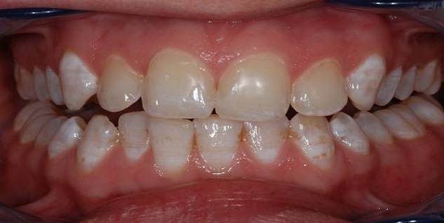
क्या हैं फ्लोरोसिस के लक्षण
फ्लोरोसिस का मुख्य लक्षण दांतों पर सफेद, पीले या भूरे धब्बे हैं। कई बार ये धब्बे इतने हल्के होते हैं कि ध्यान देने पर ही दिखाई देते हैं या चिकित्सक की जांच में नजर आते हैं। हालांकि फ्लोरोसिस इसलिए खतरनाक है क्योंकि समय के साथ ये धब्बे और इनका रंग बढ़ता जाता है इसलिए सही समय पर इसका इलाज जरूरी है।
इसे भी पढ़ें:- सर्दियों में हाथ-पैरों में सूजन का कारण हो सकते हैं चिलब्लेन्स, जानें लक्षण और उपचार
क्या है फ्लोरोसिस का इलाज
फ्लोरोसिस दांतों की कोई गंभीर बीमारी न होकर कॉस्मेटिक की एक समस्या है क्योंकि इससे सिर्फ दांतों की सुन्दरता प्रभावित होती है; केविटिज वगैरह का निर्माण नहीं होता । इसलिए फ्लोरोसिस के इलाज में दाग को हटाने का प्रयास किया जाता है। यदि दाग सामने वाले दांतों पर हों तो यह चिंता का विषय है और दागयुक्त क्षेत्र को हटाने के लिए दन्त सफेदी की प्रक्रिया अपनाई जाती है।
ऐसे अन्य स्टोरीज के लिए डाउनलोड करें: ओनलीमायहेल्थ ऐप
Read More Articles On Other Diseases In Hindi
How we keep this article up to date:
We work with experts and keep a close eye on the latest in health and wellness. Whenever there is a new research or helpful information, we update our articles with accurate and useful advice.
Current Version