
आज की खराब जीवनशैली, तंबाकू, धूम्रपान आदि का सेवन करने से लोगों को कम उम्र में ही दिल की बीमारी हो रही है। एंजियोग्राफी और एंजियोप्लास्टी दिल की ही बीमारी का पता करने व उसका इलाज करने से जुड़े दो शब्द हैं। तो आइए इस आर्टिकल में हम जमशेदपुर के मानगो के हार्ट स्पेशलिस्ट डॉ. कृष्णा से बात कर इसकी बारीरियों को समझने की कोशिश करेंगे। वहीं जानेंगे कि दिल की किस बीमारी में इसकी जरूरत पड़ती है। इस संबंध में ज्यादा जानने के लिए पढ़ें ये आर्टिकल।
इस पेज पर:-
एंजियोग्राफी है एक प्रकार का टेस्ट
डॉक्टर बताते हैं कि हम मरीज को तब एंजियोग्राफी टेस्ट की सलाह देते हैं जब उसकी आर्टरी और वीन्स में ब्लॉकेज की संभावना होती है। इस जांच के बाद ब्लॉकेज आसानी से पता चल जाता है। वहीं एंजियोप्लास्टी वो तरीका है जिसके जरिए वीन्स व आर्टरी में मौजूद ब्लॉकेज को हटाया जाता है।

जानें आखिर क्यों होता है ब्लॉकेज, इससे क्या-क्या होती है दिक्कत
डॉक्टर बताते हैं कि पहले इन दो टर्म को अच्छे से समझने के लिए यह जानना जरूरी हो जाता है कि ये आर्टरी और वीन्स में ब्लॉकेज क्यों आता है। वहीं ब्लॉकेज होने की वजह से क्या-क्या दिक्कतें आती हैं।
वीन्स व आर्टरी में ब्लॉकेज
इसके कारणों की बात करें तो एक्सपर्ट बताते हैं कि दिल की आर्टरी और वींस में ब्लॉकेज आ जाता है, जिसके उपचार के लिए एंजीयोप्लास्टी की जाती है। इस वजह से शरीर में ब्लड सप्लाई अच्छे से नहीं हो पाती है। हमारे ब्लड में कुछ डिफेक्ट होने की वजह से वीन्स-आर्टरी में इकट्ठा हो जाती है, इसे प्लॉक फॉरमेशन (plaque Formation) कहा जाता है। यही ब्लॉकेज का कारण बनता है।
प्लॉक फॉरमेशन का क्या है कारण
डॉक्टर बताते हैं कि खून में हाई ट्राई ग्लेसराइड और हाई कोलेस्ट्रोल होने की वजह से प्लॉक फॉरमेशन होता है। कोलेस्ट्रोल व ट्राईग्लेसराइड्स दोनों ही एक प्रकार का फैट है। ऐसे में सामान्य से ज्यादा वसा युक्त भोजन करने से यह समस्या आ सकती है। वैसे लोग जो ज्यादा चीनी युक्त खाद्य पदार्थ का सेवन करते हैं, इससे हमारे शरीर में फैट डिपॉजिशन बढ़ जाता है। यही आगे चलकर वीन्स व आर्टरी में डिपॉजिट होता है। इन्हीं कारणों से प्लॉक फॉरमेशन होता है।
प्लॉक फॉरमेशन से शरीर होने वाले नुकसान
एक्सपर्ट बताते हैं कि शरीर की रक्तकोशिकाओं में यदि सामान्य रूप से ब्लड सप्लाई हो रही है तो ऐसे में शरीर के तमाम अंगों को अच्छे से खून पहुंचेगा वो अच्छे से काम करेंगे। प्लॉक फॉरमेशन की वजह से ब्लड सप्लाई प्रभावित होती है। इससे शरीर के अंग अच्छे से काम नहीं कर पाते हैं। ऐसे में ऑर्गन फेल्योर और छाती में दर्द होता है। इसके बाद डॉक्टर शुरुआत में बीमारी का पता लगाने के लिए एंजियोग्राफी और बीमारी का पता लग जाने के बाद एंजियोप्लास्टी कर उपचार करते हैं।

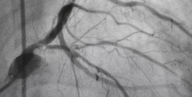
कैसे की जाती है एंजियोग्राफी
डॉक्टर बताते हैं कि हाथ या फिर जांघ के जरिए कैथेडर को शरीर में डालते हैं। कैथेडर बारीक की पाइप होती है। जो हमारे नस के जरिए डाला जाता है और धीरे-धीरे हार्ट की नसों तक पहुंचा दिया जाता है। डॉक्टर इसे मशीन के बाहर लगे मॉनिटर सिस्टम पर देखते हुए करते हैं। ताकि किसी प्रकार की दिक्कत न हो। कैथेडर में खास प्रकार की डाई होती है, जब कैथेडर हार्ट में कोरोनरी आर्टरी में पहुंच जाता है, डाई के जरिए अंदर की तस्वीर को डॉक्टर आसानी से देख पाते हैं, जिससे ब्लॉकेज का आसानी से पता लगाया जाता है।
एक्सरे इमेजनरिंग भी है खास तकनीक, एंजिओग्राम है रिपोर्ट का नाम
डॉक्टर बताते हैं कि इस तकनीक के जरिए आर्टरी और वींस के अंदरुनी भाग को डॉक्टर जांच करते हैं। कहां ब्लॉकेज है या नहीं पता करते हैं। डॉक्टर इसी एक्स-रे इमेजनरिंग के जरिए रिपोर्ट तैयार करते हैं। जिसे एंजिओग्राम (Angiogram) कहा जाता है। एक बार ब्लॉकेज का पता चल जाए तो डॉक्टर मरीज को एंजियोप्लास्टी कराने की सलाह देते हैं।
एंजियोप्लास्टी है ब्लॉकेज हटाने की ट्रीटमेंट प्रक्रिया
हार्ट स्पेशलिस्ट बताते हैं कि एंजियोप्लास्टी ब्लॉकेज को हटाने की उपचार प्रक्रिया है। ताकि शरीर में सामान्य रूप से खून की सप्लाई हो सके। इलाज करने के लिए जांघ या फिर हाथ की नसों से कैथेडर के साथ बारीक सी तार डाली जाती है। उसे वीन्स या फिर आर्टरी के उसी ब्लॉकेज तक पहुंचाया जाता है। वहां पर तार पहुंचने के बाद डॉक्टर बारीक का गुब्बारा तार के लिए जरिए जहां ब्लॉकेज होता है वहां भेजते हैं। ब्लॉकेज एरिया तक पहुंचने के बाद गुब्बारे को फुलाया जाता है, फिर पचकाया जाता है। इस प्रक्रिया को कई बार किया जाता है। इससे प्लॉक फॉरमेशन हटता है और ब्लड की सप्लाई सामान्य रूप से होने लगती है। ये इलाज की प्रारंभिक प्रक्रिया में आती है। इलाज होने के बाद डॉक्टर कैथेडर को वापिस निकाल लेते हैं। इसके बाद डॉक्टर दोबारा कैथेडर को डालते हैं, लेकिन इसके साथ एक गुब्बारा व स्टैंट को भी भेजते हैं। इसे ठीक उसी ब्लॉकेज वाली जगह पर पहुंचाया जाता है। वहां पर पहुंचने के बाद पहले गुब्बारे को फुलाया जाता है, फिर स्टैंट को खोल दिया जाता है। फिर गुब्बारे की हवा निकालकर बाहर कैडेडर व अन्य चीजें निकाल ली जाती हैं।
इसे भी पढ़ें : दुखी होने पर आपके दिल (हार्ट) पर इसका कैसे असर पड़ता है? जानें गहरे दुख में कैसे रखें दिल की सेहत का ख्याल
>
स्टैंट एक प्रकार के टनल का करता है काम
डॉक्टर बताते हैं कि एक बार स्टैंट डाल दिया जाता है तो वो रक्तकोशिकाओं में एक प्रकार के टनल का काम करता है, जिसमें आसानी से ब्लड का फ्लो होता है। ऐसे में शरीर के तमाम अंग आसानी सा काम कर पाते हैं।
कई मरीजों में दोबारा होता है ब्लॉकेज
एक्सपर्ट बताते हैं कि कई मरीजों में एक बार स्टैंट लगाने के बाद भी उनके वींस और आर्टरी में फिर से ब्लॉकेज हो जाता है। यह ब्लॉकेज जहां पहले हुआ है उससे दूर है तो डॉक्टर एंजियोप्लास्टी की प्रक्रिया को फिर से अपनाकर इलाज करते हैं।
इसे भी पढ़ें : लंबे समय तक तनाव और चिंता से बढ़ सकता है दिल की बीमारियों का खतरा, जानें कैसे डालते हैं ये हार्ट पर असर
प्लाक फॉरमेशन के छुटकारा पाने के लिए ये करें
- नियमित तौर पर एक्सरसाइज करें
- यदि उम्र व हाइट के हिसाब से आपका वजन ज्यादा है तो उसे कंट्रोल में करना होगा
- हेल्दी डाइट अपनाएं, जिसमें फैट और शुगर की मात्रा कम हो, ऐसे में कोलेस्ट्रोल व ट्राइग्लेसराइड्स यदि हम ज्यादा मात्रा में सेवन नहीं करेंगे तो ये हमारे नसों व में जाएगा और ब्लॉकेज का कारण नहीं बनेगा
जीवनशैली में बदलाव लाएं
डॉक्टर बताते हैं कि आर्टरी और वींस में ब्लॉकेज से बचाव के लिए स्वस्थ्य जीवनशैली अपनाएं। अच्छा खानपान के साथ एक्सरसाइज के लिए समय निकालें। तंबाकू युक्त खाद्य पदार्थों का सेवन कतई न करें। यदि आप ऐसा नहीं करेंगे तो इस प्रकार की बीमारी की संभावना होती रहेगी। वहीं इस एंजियोग्राफी व एंजियोप्लास्टी की अधिक जानकारी के लिए आप अपने डॉक्टर की भी सलाह ले सकते हैं।
Read More Articles On Heart
यह विडियो भी देखें
How we keep this article up to date:
We work with experts and keep a close eye on the latest in health and wellness. Whenever there is a new research or helpful information, we update our articles with accurate and useful advice.
Current Version