
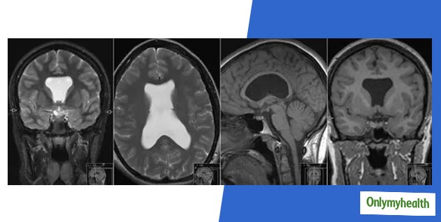
कुछ बच्चे असामान्य व्यवहार दिखाते हैं, जैसे उनमें दृष्टि दोष, संज्ञानात्मक मुद्दे, अटैक आदि समस्याएं होती हैं। यह मस्तिष्क में सेप्टम पेल्यूसीडम झिल्ली की अनुपस्थिति के कारण होता है। सेप्टम पेल्यूसीडम, एक बहुत पतली झिल्ली होती है, जो आकार में त्रिकोणीय होती है। यह मस्तिष्क के दाएं और बाएं लेटरल वेंट्रिकल कुछ भागों को अलग करता है। सेप्टम पेलुकिडियम बाएं और दाएं सेरेब्रल गोलार्धों के बीच मस्तिष्क की मध्य रेखा में स्थित है। यह कोरपस कॉलोसम से नीचे की ओर फॉर्निक्स तक एक शीट के रूप में चलता है। अकेले सेप्टम पेलुसीडियम की अनुपस्थिति एक विकार नहीं है, बल्कि इसके बजाय सेप्टो-ऑप्टिक डिसप्लेसिया वाले बच्चों में यह एक विशेषता है।
इस पेज पर:-
अब्सेंस सेप्टम पेलुसीडियम पेलुसीडियम से सबसे ज्यादा कौन होता है पीड़ित?
जो बच्चे अब्सेंस सेप्टम पेलुसीडियम से पीड़ित होते हैं, उनमें पिट्यूटरी कमियों और सेप्टो-ऑप्टिक डिसप्लेसिया जैसी अन्य समस्याएं विकसित होने की संभावना है, जो ऑप्टिक डिस्क के असामान्य विकास के कारण होने वाला एक विकार है।
जैसा कि उल्लेख किया गया है, अकेले अब्सेंस सेप्टम पेलुसीडियम एक विकार के रूप में योग्य नहीं है। हालांकि, जब यह सेप्टो-ऑप्टिक डिसप्लेसिया का एक हिस्सा बन जाता है, तो रोग का निदान इसके साथ जुड़े लक्षणों की उपस्थिति और तीव्रता के आधार पर भिन्न हो सकता है।
इसे भी पढ़ें: एंटासिड दवाओं का सेवन हैै कितना सुरक्षित है? जानें इसके स्वास्थ्य पर पड़ने वाले कुछ सामान्य दुष्प्रभाव

सेप्टम पेलुसीडियम के सामान्य लक्षण
यह एक अंतर्निहित विकार को जन्मजात भी हो सकता है, इसलिए इसके लक्षण निर्धारित करना बहुत मुश्किल है। ये व्यक्ति की स्थिति के अनुसार भिन्न होते हैं लेकिन कुछ सामान्य लक्षण यहां इस प्रकार हैं:
- दृष्टिहीनता जैसे अंधापन या खराब दृष्टि
- हार्मोनल असंतुलन
- सीखने में परेशानी होना
- लो मसल्स टोन
- विकासात्मक देरी
- पीलिया
- दौरे
सेप्टम पेलुसीडियम शरीर के बाकी हिस्सों को इसकी स्थिति के बारे में सूचित करता है। नींद, डाइट पैर्टन में बदलाव, पर्यावरण सुरक्षा आदि सेप्टम पेलुसीडियम के बारे में है। सेप्टम पेलुसीडियम की अनुपस्थिति के कारण हमारे मस्तिष्क के कार्य बाधित होते हैं। यह शरीर को संकेत देता है, यदि यह समस्याओं का सामना कर रहा है। जिन लोगों के पास सेप्टम पेल्यूसीडम की समस्या होती है, वे आमतौर पर हाई बॉडी मास इंडेक्स (बीएमआई) के साथ कम ऊंचाई और हैवीवेट होते हैं।
क्या अब्सेंस सेप्टम पेलुसीडियम का इलाज किया जा सकता है?
अब्सेंस सेप्टम पेलुसीडियम एक बीमारी नहीं है, बल्कि एक विशेषता है, जो अक्सर सेप्टो-ऑप्टिक डिसप्लेसिया वाले बच्चों में देखी जाती है। जबकि कुछ उपचार विशेष रूप से सेप्टम पेल्यूसीडम के लिए होते हैं, कुछ को अंतर्निहित समस्याओं के लिए निवारक उपाय के रूप में किया जाता है, जैसे कि स्टेरॉयड, ट्यूमर को हटाना आदि।
इसे भी पढ़ें: अधिक शराब पीना बन सकता है अल्कोहल ब्लोटिंग की वजह, जानें इसके कारण और उपाय

अब्सेंस सेप्टम पेलुसीडियम के अन्य उपचार हैं:
- मोतियाबिंद मुद्दे के लिए सर्जिकल ट्रीटमेंट
- ऑप्टिक न्यूरिटिस के लिए स्टेरॉयड देना
- टोलोसा-हंट के लिए स्टेरॉयड ट्रीटमेंट
- ग्लूकोमा के इलाज के लिए टॉपिकल एंटीग्लूकोमा की दवाएं
- हरपीज जोस्टर की समस्या के लिए एसाइक्लोविर
- पिट्यूटरी एपोप्लेक्सी के लिए न्यूरोसर्जिकल ट्रीटमेंट या स्टेरॉयड ट्रीटमेंट
इस प्रकार अब्सेंस सेप्टम पेलुसीडियम के साथ जीने वाले मरीजों को उचित उपचार और सही देखभाल के बाद एक सामान्य जीवन जीने में मदद मिल सकती है। इस स्थिति के बाद के प्रभावों को एक प्रमाणित चिकित्सक की देखरेख में चिकित्सा देखभाल के साथ आसानी से नियंत्रित किया जा सकता है।
Read More Article On Miscellaneous In Hindi
How we keep this article up to date:
We work with experts and keep a close eye on the latest in health and wellness. Whenever there is a new research or helpful information, we update our articles with accurate and useful advice.
Current Version
