
कोरोना की दूसरी लहर के स्ट्रेन ने लोगों में दहशत का माहौल पैदा कर दिया है। ऐसे में करीब 80 फीसद आबादी ऐसी है जो कोरोना के लक्षण दिखने पर आरटीपीसीआर टेस्ट (RT-PCR Report) कराती है पर रिपोर्ट नेगेटिव आती है तो वे सोचते हैं कि उन्हें कोरोना नहीं है, लेकिन ऐसे मरीज ज्यादा घातक हो सकते हैं। क्योंकि उनकी आरटीपीसीआर रिपोर्ट उन्हें नेगेटिव बताती है लेकिन उनमें लक्षण सारे कोरोना के होते हैं, ऐसे में डॉक्टर्स का कहना है कि ऐसे मरीजों को भी कोरोना (Coronavirus in india) का इलाज करना चाहिए। जिन मरीजों में आरटीपीसीआर से कोरोना पॉजिटिव नहीं मालूम होता है उनमें छाती का एचआरसीटी स्कैन किया जाता है। जिसे हाई रेजोल्युशन कंप्यटराइज्ड टोमोग्राफी (High-resolution computerized tomography) स्कैन कहते हैं। ये स्कैन क्या है, इसकी वायरस से लड़ रहे मरीजों को कब जरूरत पड़ती है। HRCT स्कैन के फायदे और नुकसान क्या हैं। इन सभी सवालों के जवाब राजकीय हृदय रोग संस्थान, जीएसवीएम मेडिकल कॉलेज, कानपुर में कार्यरत वरिष्ठ प्रोफेसर ऑफ कार्डियोलॉजी डॉ. अवधेश शर्मा ने दिए।
इस पेज पर:-

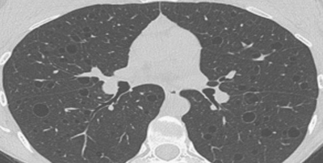
क्या है एचआरसीटी स्कैन (What is HRCT Scan)
डॉक्टर अवधेश शर्मा के मुताबिक, एचआरसीटी एक्सरे का एडवांस फॉर्म होता है। इससे फेफड़ों की इमेजिंग की जाती है। कोरोना मरीजों में रोग की गंभीरता को जानने के लिए एचआरसीटी स्कैन यानी सीटी स्कैन किया जाता है।
एचआरसीटी की जरूरत क्यों?
कोरोना के नए स्ट्रेन को जानने के लिए रैपिड एंटिजन, ट्रूनेट, आरटीपीसीआर जैसे टेस्ट किए जाते हैं। रैपिड एंटिजन में देखा गया है कि अगर 100 लोगों को कोविड है तो ये 20 से 30 फीसद में ही ये कोविड को पकड़ पाता है। जब वायरल लोड बहुत हाई होता है तभी रैपिड एंटीजन रिपोर्ट में कोविड पॉजिटिव आ पाता है। ट्रूनेट टेस्ट में 50 से 60 फीसद में कोरोना के सही परिणाम आते हैं। सबसे ज्यादा प्रभावी टेस्ट आरटीपीसीआर है जिसमें मुंह और नाक से सैंपल लिया जाता है। जिससे कोरोना की जांच की जाती है। इस टेस्ट की सेंसटिविटी 70 से 80 फीसद होती है। कोरोना के नए स्ट्रेन में देखा गया है कि पेशेंट की आरटीपीसीआर नेगेटिव होती है लेकिन पेशेंट को लक्षण सारे कोरोना के दिखाई देते हैं। ऐसे पेशेंट का डायग्नोस करने के लिए एचआरसीटी टेस्ट (HRCT Test and corona patient) किया जाता है। इस टेस्ट से 91 फीसद परिणाम सही आते हैं। इसके अलावा पल्मोनरी एंबोलिज्म के लिए भी एचआरसीटी स्कैन किया जाता है। फेफड़ों की रक्त वाहिकाओं में खून के थक्के बन जा रहे हैं जिसकी वजह से पल्मोनरी एंबोलिज्म (Pulmonary embolism) और हार्ट अटैक की परेशानी हो जाती है। पल्मोनरी एंबोलिज्म भी एचआरसीटी से ही पहचाना जाता है।
इसे भी पढ़ें : एम्स निदेशक ने चेताया, कोरोना मरीज बार-बार न कराएं CT Scan, हो सकता है कैंसर का खतरा

एचआरसीटी स्कोर कैसे निकाला जाता है?
डॉक्टर अवधेश शर्मा का कहना है कि कोरोना में देखा गया है कि ज्यादातर मरीजों में फेफड़े खराब होने लगते हैं। जिसकी वजह से मरीज को निमोनिया होने लगता है। अगर फेफड़ों के बाहरी तरफ निमोनिया मिल रहा है तो वह कोविड के फेवर में जाता है। फेफड़ों में राइट साइड में तीन लोब (lobe) होती हैं। लेफ्ट साइड का फेफड़े दो हिस्से में होते हैं। एक फेफड़े में 20 के करीब सेग्मेंट होते हैं। हर सेग्मेंट को डोपा स्कोर दिया जाता है। इससे कुल 40 का स्कोर हो जाता है।
डॉक्टर ने बताया कि सीटी स्कैन में देखा जाता है कि कौन सा फेफड़े का कौन सा लोब प्रभावित है। अगर फेफड़े को कोई नुकसान नहीं है तो शून्य स्कोर दिया जाता है। अगर 50 फीसद से कम है तो 1 स्कोर दिया जाता है। 50 फीसद से ज्यादा प्रभावित है तो 2 स्कोर दिया जाता है। 20 लोब में अगर सभी को 2 का स्कोर दे दिया तो कुल 40 स्कोर हो गए।
डॉक्टर ने उदाहरण देकर बताया कि अगर किसी कोरोना से प्रभावित पेशेंट के 10 सेग्मेंट्स का 50 फीसद से ज्यादा हिस्सा प्रभावित है तो स्कोर 20/40 (10x2=20) हो जाएगा। लेकिन अगर 10 सेग्मेंट 50 फीसद से कम प्रभावित हैं तो स्कोर 10/40 (10x1=10) होगा। डॉक्टर इस तरह से स्कोरिंग निकालते हैं। डॉक्टर अवधेश शर्मा का कहना है कि अगर पेशेंट में 40 में से 20 या उससे का स्कोर आता है तो निमोनिया ज्यादा गंभीर है। ऐसे पेशेंट ज्यादा गंभीर हालत में होते हैं।
इसे भी पढ़ें : क्या होती है कोविड-19 के आरटी-पीसीआर रिपोर्ट में मौजूद सीटी वैल्यू? डॉक्टर से जानें इसके बारे में

किन पेशेंट को कराना चाहिए सीटी स्कैन?
एचआरसीटी को ही सीटी स्कैन कहा जाता है। फेफड़ों की जांच के लिए एचआरसीटी किया जाता है। डॉक्टर अवधेश शर्मा ने बताया कि जिन पेशेंट का आरटीपीसीआर नेगेटिव है लेकिन उनको लक्षण कोरोना के हैं। ऐसे पेशेंट को एचआरसीटी स्कैन कराना चाहिए। अगर ऐसे मरीजों में निमोनिया निकलता है तो उन मरीजों का इलाज कोरोना का ट्रीटमेंट ही होता है। डॉक्टर ने बताया कि आजकल जो निमोनिया हो रहा है वो कोरोना की वजह से हो रहा है। इसलिए टेस्ट में निमोनिया के लक्षण आने के बाद भी कोरोना का इलाज ही किया जाता है।
एचआरसीटी की जरूरत तब भी पड़ती है जब पेशेंट को मालूम है कि उसे कोरोना है, लेकिन डॉक्टर गंभीरता को जांचना चाहते हैं तो उन्हें पेशेंट का एचआरसीटी स्कोर देखना पड़ता है। फेफड़े कितने खराब हुए हैं, यह जानकर मरीज का इलाज किया जाता है। सीटी स्कैन में अगर पेशेंट के फेफड़े 50 फीसद से ज्यादा खराब आ रहे हैं तो उस पेशेंट को गंभीर स्थिति वाले इलाज के लिए रेफर किया जाता है। अगर पेशेंट का सीटी स्कोर कम होता है उसके ठीक होने की संभावना ज्यादा होती है। रोग की गंभीरता जानने के लिए एचआरसीटी स्कैन किया जाता है।

कब कराएं एचआरसीटी स्कैन
कोरोना होने के दूसरे हफ्ते में सीटी स्कैन कराएं। डॉक्टर का कहना है कि पहले हफ्ते में सीटी स्कैन सामान्य आ सकता है।
एचआरसीटी के नुकसान
एचआरसीटी का ओवरयूज होने लगा है। जिस वजह से मरीजों को इसके नुकसान भी देखने पड़ रहे हैं।
- सीटी स्कैन में एक्स-रे निकलती हैं। ये एक्स-रे रेडियोएक्टिव वेव होती हैं। जो शरीर को नुकसान करती हैं। प्रेग्नेंसी में सीटी नहीं कराना चाहिए। सीटी स्कैन में एक एक्स-रे का 20 से 50 गुणा ज्यादा रेडिएशन मिलता है।
- बार-बार सीटी स्कैन नहीं कराना चाहिए। इससे कैंसर का खतरा बढ़ जाता है।
- बिना डॉक्टर की सलाह से सीटी स्कैन न कराएं।
एचआरसीटी यानी सीटी स्कैन दोनों एक ही नाम हैं। कोरोना के चलते ज्यादातर मरीजों में देखा गया कि वे बार-बार सीटी स्कैन करा रहे हैं। इस वजह से उनमें कैंसर जैसी घातक बीमारी के खतरे बढ़ सकते हैं। डॉक्टरों ने आगाह किया है कि एचआरसीटी बिना डॉक्टर की सलाह से न कराएं।
यह विडियो भी देखें
Read Next
कोरोना के कारण 'अपनों' को खो चुके बच्चों को कैसे दें इमोशनल सपोर्ट? बता रही हैं साइकोलॉजिस्ट
How we keep this article up to date:
We work with experts and keep a close eye on the latest in health and wellness. Whenever there is a new research or helpful information, we update our articles with accurate and useful advice.
Current Version