
Body functions and organs are interdependent on each other. Dislocation of a joint is a very painful condition and can happen at any joints around the body. It can be more problematic if it occurs on fingers. Fingers are crucial part of our body system which helps us to carry out our major functions. If finger gets injured or dislocated, it can prevent us from carrying out many routine activities and cause difficulty in major work functions that needs to be done. Every finger is placed on three joints, if either one of them gets damaged, or injured by force it can cause finger dislocation. Today we will know about this condition in more detail.
Table of Content:-
Finger Dislocation: What is it?
We have Dr. Santosh Tyagi, Orthopaedic Surgeon from Ivory Hospital, Greater Noida to tell us about condition of finger dislocation. He said that finger dislocation can be caused due to variety of reasons; one among them can be traumatic fall or impact in a sports activity. Finger dislocation happens majorly because of heavy impact on finger, injury or bone fracture. Fracture of fingers is little different from finger dislocation and should be understood precisely.

Finger dislocation is a result of two bones to move in a certain degree or position which creates an impact on the joint between fingers. Since the bones are not correctly aligned, it causes severe pain in the movement and it bends or goes in one particular direction. Conditions vary according to point of impact or type of dislocation but most common condition which arises in this place is called proximal inter-phalangeal joint.
Symptoms of Finger Dislocation
Finger dislocation can be experienced and determined as soon as you have it. This is because symptoms of finger dislocation are very evident and right in front of your eyes to see.
- Your joint of finger will look in wrong position
- Finger appear bending or sticking out on one side
- Having swelling or bruising around the joint
- Serious pain in finger that is dislocated
- Problem in movement of finger that is dislocated
- Unable to hold or maintain friction with objects
What are the Causes of Finger Dislocation?
There are number of causes which can lead us to finger dislocation. Most common among people is due to sports injury or accidents. Different causes of finger dislocation are-
1. Sports injury
This is most occurring cause of having finger dislocation. While playing any sport, there are always chances of falls or balls impacting your fingers. Finger dislocation is most common in activities such as football, basketball and volleyball. Around 21 percent of cases that have finger dislocations are caused because of some kind of sports activity. There is not prevention for this activity but if treatment is given immediately, the process of healing can be increased.

2. Fall
Another common cause of any finger injury or dislocation is because of falls. Finger dislocation can be caused because of impact created by pushing your fingers beyond their normal reach. During a fall, your body weight or part of your body weight might be exerted on the finger which leads it to falls. Falls can be limited by cutting down the extent of motions for a person. Being vigilant about a situation can impact the condition and causes of finger dislocation.
3. Accident
Well in an accident any body organ or function can be impacted. Finger dislocation becomes more prevalent in younger adults who try to be out there all the time. Accident can lead to crushing or finger or dislocating it at a high degree. Accident could also include your finger coming in between the door. This is less serious but can be very painful at all times.
Also Read- 10 Parenting Tips To Ensure Kids Remain Safe And Healthy This Diwali
4. Genetical conditions
There are less chances of having a finger dislocation because of genetical conditions. In majority of cases, finger dislocation because of genetics is found in children because they tend to have weaker bones, and genes leading to such problems can increase chances of having finger dislocation. Sometimes it also happens because of structural deformities or weakened ligament tissues.

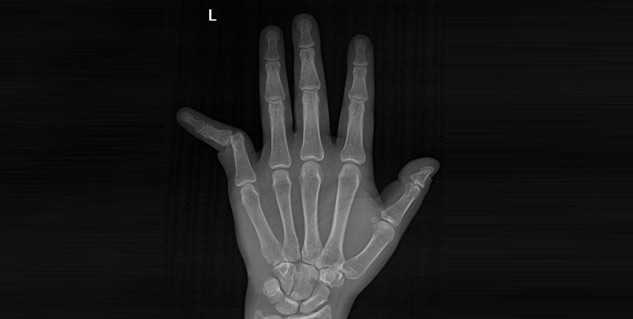
Diagnosis of Finger Dislocation
Well it is not hard to determine condition of finger dislocation but there is a need to understand the adversity of the dislocation that has occurred. Once there is enough evidence to know that the condition is finger dislocation, it becomes easier to treat it in the best way possible. Normally X-ray is taken to rule out the chances of having fracture.
Treatment for Finger Dislocation
Treatment can be given after determining the point of maximum impact. The foremost rule is that do not try to move back the finger to its original position on your own. You can injure your fingers more impacting-
- Tendons
- Nerves
- Ligament
- Blood vessels
Here are some ways to treat your finger dislocation-
1. To apply ice pack
Ice pack can be applied on the dislocated region using a towel or wrapping it in a cloth. You should not apply the ice directly in case of finger dislocation. Then rest treatment is also applied.
2. Reduction
This is a term which is used to describe condition of putting back the bone to its original place. Reduction process involves having anaesthesia to make the place numb, in this local anaesthesia is given to conduct the treatment procedure. During reduction, the bone gets pressed and you may feel it to become wedged into the joint. Doctor presses the bone to move it back to the place and pull the finger forward to ease movement again.
Also Read- How Can Stress Affect Your Skin? Know From This Dermatologist
3. Splint
This process is after the relocation of bone, it is called splint. Splint is a condition in which the doctor puts a splint to prevent your finger from dislocation again and give it adequate time to process. Splint is placed there for a couple of weeks, and if the recovery is at the right stage, then it is removed.

4. Buddy Tape
Once the splint is removes, and then comes the chance of buddy tape, this is special type of tape that keeps your finger intact and prevents it from moving much. It is an additional support to the finger and is quite helpful in the time of healing. Buddy tape is present for another couple of weeks, till the finger almost gets recovered from dislocation.
If this whole process is unable to stabilize and treat finger dislocation, then surgical procedure is applied in order to reposition the bones for repair. Surgery is very important to conduct healing and stabilize the joints. If the treatment is not done properly, then it may lead to person to finger fractures.
Picture Credits- Pexels.com, Healthmotive.in
Also watch this video
How we keep this article up to date:
We work with experts and keep a close eye on the latest in health and wellness. Whenever there is a new research or helpful information, we update our articles with accurate and useful advice.
Current Version
