
Hollywood actress Gal Gadot, known for her portrayal of Wonder Woman, recently opened up about a life-threatening medical ordeal she experienced during her fourth pregnancy. In her eighth month, Gadot began experiencing debilitating headaches that left her bedridden. After weeks of enduring the pain, an MRI revealed she had a massive blood clot in her brain, a condition known as Cerebral Venous Thrombosis (CVT).
Table of Content:-
The diagnosis required emergency intervention. Gadot underwent surgery at Cedars-Sinai in Los Angeles while simultaneously delivering her daughter, Ori. Reflecting on the experience, Gadot shared her story on social media, emphasizing the importance of listening to one's body and seeking timely medical care.

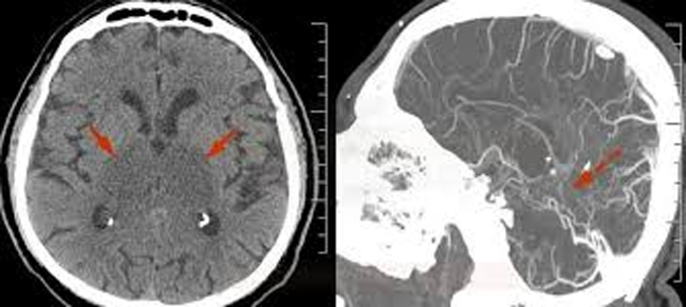
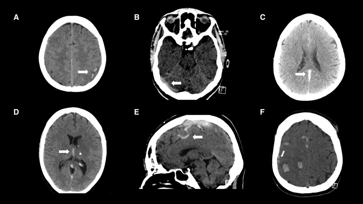
What Is Cerebral Venous Thrombosis (CVT)?
Cerebral Venous Thrombosis is a rare but potentially fatal condition in which a blood clot forms in the venous sinuses of the brain. These sinuses are responsible for draining blood from the brain. When a blockage occurs, it can lead to increased pressure, brain swelling, or haemorrhage, which, in severe cases, can cause permanent brain damage. As per Dr Jaideep Bansal, HOD and Senior Consultant, Neurology Department, Saroj Super Specialty Hospital, women are more susceptible to suffering from Cerebral Venous Thrombosis because they have relatively more hormonal changes.
Also Read: Sunidhi Chauhan Reveals Diet Secrets Behind Her Toned Body at 41: 'Lost 10 Kg in Just 5 Days!'
“I had no idea that 3 in 100,000 pregnant women over 30 are diagnosed with CVT. Early identification is crucial because it’s treatable. Knowing it exists is the first step to addressing it,” Gadot wrote, encouraging awareness about the condition.

Symptoms of CVT to Watch Out For
The symptoms of CVT can vary depending on the location of the clot, but early detection is key to effective treatment. Some common symptoms include:
- Headaches: Often severe and persistent.
- Blurred Vision: Can occur due to increased pressure in the brain.
- Neurological Issues: Fainting, seizures, or loss of consciousness.
- Motor Impairment: Loss of control over certain body movements.
- Severe Cases: Coma or life-threatening complications.
If any of these symptoms occur, especially during or after pregnancy, immediate medical attention is essential.

Causes and Risk Factors
CVT is considered a rare type of stroke that affects about 5 people per million annually. In pregnant women, the risk increases due to hormonal changes, increased blood volume, and a heightened propensity for clotting during pregnancy and the postpartum period.While CVT in children is rare, newborns are most at risk in their first month of life.
Also Read: Manisha Koirala Shares How Strength and Resistance Training Transformed Her Life
How Is CVT Treated?
Treatment for CVT is typically conducted in a hospital and involves a multidisciplinary approach. The following measures are often employed:
- Fluids: To maintain blood flow and prevent dehydration.
- Anticoagulants: Medications like heparin to prevent further clotting.
- Seizure Control: Medications to manage or prevent seizures.
- Pressure Management: Monitoring and controlling intracranial pressure.
- Surgery: In severe cases, surgical intervention may be required.
Bottomline
Gal Gadot’s ordeal highlights the need for greater awareness about Cerebral Venous Thrombosis, particularly for women during pregnancy and postpartum. Her story serves as a reminder of the importance of listening to one’s body and seeking medical attention when something feels off.
While CVT is rare, it is a serious condition that is treatable if caught early. Gadot’s advocacy sheds light on this condition, urging others to remain vigilant and prioritize their health.
Also watch this video
How we keep this article up to date:
We work with experts and keep a close eye on the latest in health and wellness. Whenever there is a new research or helpful information, we update our articles with accurate and useful advice.
Current Version