
वक्त दर वक्त हम सभी को अनचाही जगह पर उगे बालों को हटाने की जरूरत होती है। लेकिन एक जगह ऐसी भी है, जिसके बारे में आपने कभी सुना भी नहीं होगा और वह है आपके मसूड़ें। 10 साल पहले एक 19 साल की महिला इटली की यूनिवर्सिटी ऑफ कैम्पेनिया लुइगी वनवेटेली के डॉक्टरों से मिली थी, जिसके बाद ये दुर्लभ मामला सामने आया। इस स्थिति को मेडिकल के क्षेत्र में जिंजिवाल हिरसुटिस्म कहते हैं।
इस पेज पर:-

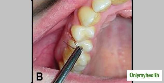
विशेषज्ञों ने हाल ही में एक केस स्टडी में कहा, ''2009 में हमारे समक्ष एक ऐसा मामला सामने आया, जिसमें एक युवती के मसूड़ों में आंखों की पलक जैसे बाल आए हुए थे।'' उन्होंने ये बाल युवती के सामने वाले ऊपर के दांतों के पीछे मौजूद सॉफ्ट टिश्यू में आए हुए थे।
इसी तरह के पांच मामले 1960 के दशक में भी सामने आए थे, जिसमें सभी पांच मामले पुरुषों के थे।
विशेषज्ञों का कहना है कि यह जान पाना बेहद मुश्किल है कि इतिहास में इस स्थिति से कितने लोग गुजरे होंगे। इतने कम मामलों के सामने आने के कारण डॉक्टरों के लिए यह पता लगा पाना थोड़ा मुश्किल है कि ऐसा क्यों होता है और इसके पीछे क्या कारण हो सकते है।
इस मामले में पैथोलॉजिस्ट ने जल्दी ही एक संभवित सबूत खोज निकाला। हार्मोन टेस्ट और अल्ट्रासाउंड से महिला में पॉलीसिस्टिक ओवरी सिंड्रोम (पीसीओएस) का पता चल पाया। ये एक रिप्रोडक्टिव स्थिति है, जो हार्मोनल इंबैलेंस से जुड़ी हुई है।
इसे भी पढ़ेंः रात की शिफ्ट में काम लोगों में बढ़ा रहा ह्रदय रोगों, स्ट्रोक और डायबिटीज का खतराः शोध
इस तरह की हार्मोनल गड़बड़ी का एक आम परिणाम ही है जरूरत से ज्यादा बाल लेकिन इस तरह बालों का असामान्य विकास आमतौर पर शरीर के कुछ हिस्सों तक ही सीमित होता हैं, जो पहले चेहरे, शरीर और अन्य अंगों पर दिखाई देते हैं।

डॉक्टरों ने बताया कि इस मामले में बाल अपनी जगह से ज्यादा बढ़ रहे थे। इसलिए जब पीसीओएस इसका कारण नहीं हो सकता है तो निश्चित रूप से स्थिति और बिगड़ सकती है।
युवती के मसूड़ों में आए बालों को सर्जरी से निकाला गया और उसके बाद उसे हार्मोनल इंबैलेंस को हल करने के लिए कुछ वक्त तक दवाईयां खाने को कहा गया। सर्जरी के बाद महिला बालों से मुक्त मुंह लेकर घर लौटी। लेकिन छह साल बाद वह महिला दोबारा क्लीनिक लौटी। उसने हार्मोन की अपनी दवाईयां बंद कर दी, जिसके कारण वह स्थिति वापस लौट आई।
इसे भी पढ़ेंः महिलाओं में माइग्रेन का कारण बनती है इस हार्मोन की गड़बड़ी, जानें दर्द को दूर करने का प्राकृतिक नुस्खा
इस बार मेडिकल टीम ने न केवल उसके बाल निकाले बल्कि माइक्रोस्कोप के जरिए छोटे-छोटे टिश्यू पर बारीकी से नजर भी दौड़ाई। उन्होंने पाया है कि बालों की एक शाफ्ट महिला के मसूड़ों से आसामान्य तरीके से अपना रास्ता बना रहे हैं। एक साल बाद स्थिति और बिगड़ गई और बाल उसके मुंह के अन्य जगहों पर भी आने लगे।
डॉक्टरों का मानना है कि हमारी बाहरी त्वचा का तेल उत्पादन करने वाला ग्लैंड मुंह के भीतर उभरने लगा है, जिसे मेडिकल की भाषा में फोर्डसी ग्रेनुअल्स कहते हैं।
डॉक्टरों के मुताबिक, पीड़ित महिला का एक बार इलाज कर उसे लौटा दिया गया और उसके बाद से कोई दूसरा मरीज या फिर वही महिला दांतों में बालों की वृद्धि की शिकायत लेकर नहीं आई है। यह भी स्पष्ट नहीं है कि क्या दंत असामान्यता किसी के स्वास्थ्य को अन्य तरीकों से प्रभावित करती है, जिसके कारण किसी को असुविधा का सामना करना पड़े।
(सोर्सः साइंस अलर्ट)
Read more articles on Health News in Hindi
How we keep this article up to date:
We work with experts and keep a close eye on the latest in health and wellness. Whenever there is a new research or helpful information, we update our articles with accurate and useful advice.
Current Version