
In recent developments, WWE star Giulia has revealed she will undergo surgery following a wrist fracture sustained at Marigold’s debut event last week. The injury occurred during a match, leading to a necessary surgical intervention to ensure a swift recovery. Giulia shared insights into her experience and upcoming surgery in an interview with Tokyo Sports.
Table of Content:-
Giulia's Injury and Surgical Decision
Giulia recounted the moment of injury, explaining, “That day, my arm bent in the wrong direction, and as a result, I broke it. I was told that having surgery would be the quickest way to recover, and I made the decision because I wanted to be in top condition to play against Saree.” Despite the setback, Giulia remains optimistic about her recovery process and is preparing for her surgical procedure.
View this post on Instagram
Coping with the Situation
Remarkably, Giulia maintains a positive attitude towards her upcoming surgery and recovery period. She stated, “Right now I’m not too worried. I’ll be away from home for three nights and four days, so it’s like going on a trip to the countryside. I won’t be able to move around, so I’ll spend my time watching movies for the first time in a while and watching various wrestling videos.” This outlook showcases her resilience and ability to find a silver lining amid adversity.
Reflecting on the Match and Future Goals
Reflecting on her performance and learning from the incident, Giulia noted, “In the afternoon, I felt like I was taken by Saree and Bojira, but in the evening, I learned from that and played a good match from the first match. I want everyone to show me matches that will make me regret it. I’ll come back in good spirits!” Her determination to return stronger and better prepared is evident, promising an exciting comeback for her fans.
Also Read: Jimmy Kimmel's Son Undergoes Third Open Heart Surgery; Know All About The Procedure
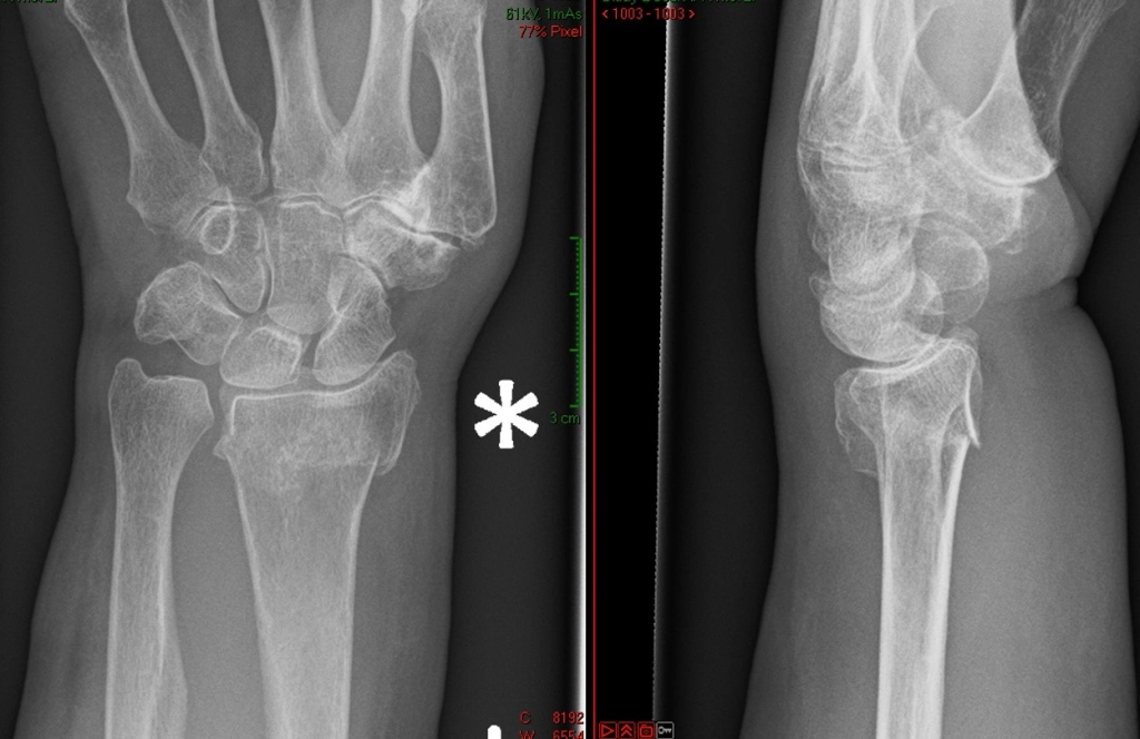
Understanding a Broken Wrist
As per Dr Swapnil Keny, Consultant-Orthopedics, Fortis Hospital, Kalyan, a broken wrist, medically known as a distal radius fracture, is a common injury often resulting from falls or direct impacts. The wrist comprises two primary bones—the radius and ulna—and several smaller carpal bones. Fractures can occur in any of these bones, with symptoms typically including severe pain, bruising, swelling, and tenderness.
Symptoms and Diagnosis
Common symptoms of a wrist fracture include immediate and intense pain, swelling, bruising, and tenderness around the affected area. Diagnosis typically involves a physical examination followed by imaging tests such as X-rays to determine the extent and nature of the fracture.

Surgical Options for Treating a Distal Radius Fracture
When a distal radius fracture is complex or unstable, surgical intervention is often required to ensure proper healing. Several surgical options are available, each with specific indications and advantages.
Internal Plate Fixation
Internal plate fixation is a widely used method to treat distal radius fractures. This procedure involves surgically implanting plates, screws, or pins to hold the bone fragments in place. Plates and other components are most often implanted on the inside of the wrist and forearm, though they can be placed on the back of the arm and wrist in certain cases. This method is particularly suitable for unstable, intra-articular, compound, and/or comminuted fractures.
Also Read: Actor Fahadh Faasil Diagnosed With ADHD; Symptoms Of ADHD In Adults
One significant advantage of internal plating is that it allows for earlier mobilisation and requires less complicated casting compared to external fixation. However, the biggest drawback is the potential for irritating tendons near the components, which can lead to tendinopathy and possible tendon rupture. Advances in plate design have reduced this risk, with newer plates featuring a thinner profile to minimise tendon irritation.
External Fixation
External fixation is another surgical option for treating unstable fractures, especially those extending into the wrist’s radiocarpal joint. This technique involves placing metal pins into the bone, which extend outside the skin and are attached to an external frame to maintain bone alignment.
There are two main types of external fixation: bridging and non-bridging. Bridging external fixation involves a frame that extends across the wrist joint, keeping it static. A dynamic hinge can be added to allow some movement. Non-bridging external fixation does not bridge the joint, enabling earlier movement during recovery.
Non-bridging external fixation may offer better outcomes, as it allows for earlier mobility and does not keep the wrist in a fixed position. However, the cumbersome nature of the external frame and the risk of infection at the pin sites are notable drawbacks.
Bottomline
As Giulia prepares for her wrist surgery, fans and the wrestling community alike are hopeful for her swift and complete recovery. Understanding the various surgical options for treating a wrist fracture highlights the complexity and precision involved in ensuring athletes like Giulia can return to their peak performance levels. Giulia's resilience and positive outlook serve as an inspiration, promising a strong comeback to the ring.
Also watch this video
How we keep this article up to date:
We work with experts and keep a close eye on the latest in health and wellness. Whenever there is a new research or helpful information, we update our articles with accurate and useful advice.
Current Version