
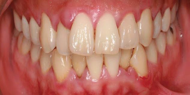
पायरिया दांतों की एक गंभीर बीमारी है जो दांतों के आसपास की मांसपेशियों को संक्रमित करके उन्हें हानि पहुंचाती है। आजकल काफी तेजी से पायरिया के मरीज बढ़ रहे हैं। ये आमतौर पर लोगों की लापरवाही का एक नतीजा होता है। पायरिया में दांतों का सड़ना, दांतों पर अत्यधिक मैल जमना, मुंह से दुर्गन्ध आना और मुंह में अरुचिकर स्वाद का निर्माण होना, जीवाणुओं का पसरण, मसूड़ों में जलन होती है। ऐसे में अक्सर लोग काफी परेशान रहते हैं और इसका सही इलाज तलाशते हैं। लेकिन क्या आप जानते हैं आप घर पर भी पायरिया का इलाज कर इन सभी परेशानियों से राहत पा सकते हैं। अगर नहीं जानते तो आज हम आपको इस लेख के जरिए बताएंगे कि कैसे आप अपने आप घर पर ही कुछ आसान उपाय कर इस समस्या से छुटकारा पा सकते हैं।
इस पेज पर:-

नमक
पायरिया से परेशान लोगों के लिए नमक बहुत ही फायदेमंद नुस्खा है। नमक में मौजूद गुण आपके मुंह में दर्द, सूजन और खून निकलने की समस्या को खत्म करने का काम करता है। इसके लिए आप एक ग्लास हल्के गुनगुने पानी में नमक के 2 चम्मच डालकर इस घोल से दिन में 2 से 3 बार कुल्ला करें। इससे आपके दांतों और मसूड़ों में होने वाला दर्द भी कम होगा साथ ही मसूड़ों से भी निकलने वाले खून को रोक सकेगा।
मसूड़ो की मालिश
पायरिया की समस्या में रोजाना मसूड़ों की मालिश कर इस समस्या को कम किया जा सकता है। मालिश करने से मसूड़ों में मौजूद बैक्टीरिया को भगाया जा सकता है। मसूड़ों की मालिश का ये तरीका काफी पुराना और असरदार है। मसूड़ों की मालिश करने के लिए आप नारियल या फिर तिल के तेल का इस्तेमाल कर सकते हैं। मालिश करने के बाद आप गुनगुने पानी से कुल्ला कर लें। आपको इससे काफी राहत मिलेगी साथ ही कुछ ही दिनों में पायरिया की समस्या खत्म हो जाएगी।
इसे भी पढ़ें: इन 10 टिप्स से दांतों की चमक हमेशा रहेगी बरकरार
हल्दी
हल्दी हमारे स्वास्थ्य के लिए काफी फायदेमंद होती है। पायरिया में भी हल्दी का इस्तेमाल करना हमारे लिए मददगार साबित हो सकता है। हल्दी से मसूड़ों की सूजन कम होती है साथ ही मसूड़ों और दांतों में मौजूद बैक्टीरिया को खत्म करने का काम करता है। हल्दी को आप एक मंजन की तरह इस्तेमाल कर सकते हैं। इससे आपके मसूडो़ं में दर्द और खून निकलना बंद हो जाएगा।
अमरूद
अमरूद का सेवन करने से ये मसूड़ों में मौजूद सूजन को कम करता है साथ ही ये आपको दर्द में भी राहत देता है। अमरूद के साथ ही अमरूद की पत्तियां भी पायरिया के इलाज के लिए काफी फायदेमंद होती है। आप अमरूद की पत्तियों को चबा कर उसके रस को मुंह के अंदर ही रखें और उसे मुंह में चारों ओर घूमाएं। इसके कुछ देर बाद आप पानी से कुल्ला कर लें। इससे आपको दर्द में भी राहत मिलेगी साथ ही आपके मसूड़ों से खून निकलने की समस्या खत्म हो जाएगी।
इसे भी पढ़ें: दांतों और मसूड़ों को लंबे समय तक स्वस्थ रखने के लिए जरूरी हैं ये 10 ओरल केयर टिप्स
नीम
नीम के कई फायदों को तो आप अच्छी तरह जानते ही होंगे। हल्दी की तरह नीम भी हमारे स्वास्थ्य के लिए काफी फायदेमंद होता है। नीम की पत्तियां पायरिया को खत्म करने का काम करता है। मसूड़ों पर नीम के रस को लगाएं, इससे आपके मसूड़ों की सूजन कम होने के साथ दर्द में राहत मिलेगी।
How we keep this article up to date:
We work with experts and keep a close eye on the latest in health and wellness. Whenever there is a new research or helpful information, we update our articles with accurate and useful advice.
Current Version