
Did you know that a baby can be born with a little hole in his heart? It's a common heart problem in newborn babies called Ventricular Septal Defect (VSD) that occurs when there is a gap between the heart's two lower chambers. It can make the heart do extra work and in some cases can lead to signs, such as rapid breathing, difficulty feeding, or fatigue.
Table of Content:-
We spoke to Dr Abhishek Chopra, Consultant Pediatrician and Neonatologist, Cloudnine Group of Hospitals, Punjabi Bagh, New Delhi, who explained this condition, its causes, symptoms, and treatment measures.
What Is Ventricular Septal Defect (VSD)?

Ventricular Septal Defect (VSD) is a congenital heart defect characterised by a hole in the septum, the wall that divides the two lower chambers (ventricles) of the heart. "This defect enables oxygen-rich blood from the left ventricle to be mixed with oxygen-poor blood in the right ventricle, resulting in inefficient circulation and overwork of the heart and lungs. VSD may vary in size and severity, ranging from tiny defects that may close on their own to bigger ones requiring surgery, explained Dr Chopra.
Causes and Risk Factors For VSD
While VSDs cannot always be identified, they usually occur during the foetal period as the heart forms. Potential risk factors are:

- Genetic influences: History of congenital heart defect in the family
- Chromosomal defects: Conditions, such as Down syndrome
- Maternal infections or disease: Rubella or diabetes during pregnancy
- Medications and substance use: Certain drugs, alcohol, or smoking during pregnancy
Also Read: Can You Reduce The Risk Of Birth Defects? Common Questions Answered By Expert
Symptoms of VSD in Newborns
The symptoms of VSD vary according to the size of the defect and the quantity of blood flow between the ventricles. Small VSDs do not present any observable symptoms and may only be diagnosed through a medical examination. Large VSDs result in:
- Increased rate of breathing or breathlessness
- Poor feeding and failure to gain weight
- Excessive sweating and tiredness, especially while feeding
- Increased rate of respiratory infections
- Heart murmurs identified by a physician
Diagnosis of VSD

- Physical Examination: A doctor may detect a heart murmur using a stethoscope.
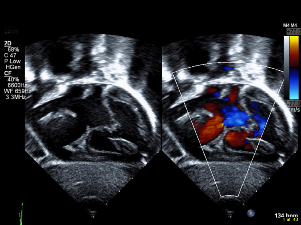
- Echocardiogram (Echo): An ultrasound of the heart that verifies the presence and size of the defect.
- Electrocardiogram (ECG): This helps in measuring the electrical activity of the heart.
- Chest X-ray: This may reveal an enlarged heart or signs of excessive blood flow to the lungs.
- Cardiac Catheterisation: A more invasive procedure in complicated situations to offer precise heart structure data.
Also Read: Understanding Congenital Anomalies: Symptoms, Causes, And Prevention Tips For Birth Defects
Treatment Options for VSD
The treatment for VSD depends on the defect size, the symptoms, and the overall well-being of the infant. Dr Chopra enumerated the options for treatment as follows:

1. Observation and Monitoring
- Small VSDs usually close on their own within the first few years of life.
- Routine check-ups and echocardiograms help in monitoring the defect.
- Medications may be prescribed to manage the symptoms, such as diuretics to reduce fluid buildup or medication to strengthen the heart.
2. Medications
- Diuretics: Help reduce fluid overload and relieve respiratory issues.
- ACE inhibitors: Lower the heart workload.
- Nutritional support: Infants with feeding difficulty may need tube feeding or high-calorie formulas.
3. Surgical Intervention
The VSD may require surgery if it is large, has severe symptoms, or causes heart failure or high blood pressure in the lungs.
- Open-heart surgery: The hole is patched with a sewing material to seal it permanently.
- Catheter-based procedure: An instrument is implanted via a catheter to close the defect.
4. Long-term Management and Prognosis
- Most babies with small VSDs lead healthy lives with no complications.
- Those having surgery or catheter procedures recover well, with minimal chances of long-term heart problems.
- In some instances, life-long follow-up by a cardiologist may be required.
When to Seek Medical Help
Parents should immediately get medical attention if their infant presents with:
- Persistent difficulty breathing
- Bluish skin (cyanosis)
- Poor feeding and weight gain
- Lethargy or extreme fatigue
Bottomline
Dr Chopra concluded, "VSD is a congenital heart abnormality in newborns. Minor defects usually close by themselves, but larger ones might need to be treated with medicine or surgery. With prompt diagnosis and proper treatment, the majority of infants with VSD can lead healthy lives. Parents need to communicate closely with their pediatric cardiologist to achieve the best outcome for their child."
[Disclaimer: This article contains information provided by an expert and is for informational purposes only. Hence, we advise you to consult your professional if you are dealing with any health issue to avoid complications.]
Also watch this video
How we keep this article up to date:
We work with experts and keep a close eye on the latest in health and wellness. Whenever there is a new research or helpful information, we update our articles with accurate and useful advice.
Current Version