
A lot of individuals wish that they were taller. Confidence and the way an individual feels about themselves are usually influenced by height. Others feel that it only takes a few more inches to alter their entire perception of life. Leg-lengthening surgery has been trending in the news lately as an increasing number of individuals take the procedure into consideration, not due to medical purposes but to become taller and enhance their self-esteem.
Table of Content:-
The concept is rather outrageous: fracturing to grow taller. But this surgery is actual and this works very carefully and in a controlled manner. Read ahead to know about its methods, the process and what you need to know before you consider it.
What Is Leg-Lengthening Surgery?![Leg-Lengthening Surgery 3 - 2025-09-09T120907.999]()
Leg-lengthening surgery was initially developed to assist individuals with a short or uneven limb due to injury, birth defect or disease. It is now also applied in cosmetic scenarios in which individuals want to appear taller.
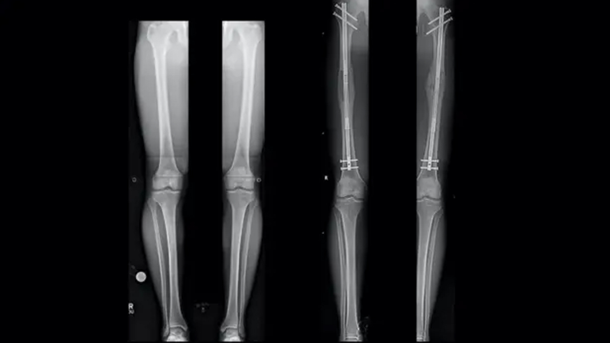
According to Dr Anurag Das, Orthopaedic Surgeon, Orthopedics & Joint Replacement Department, CMRI Kolkata, it is a procedure that requires only the removal of one or several bones of the legs, most often the thigh bone (femur) or the shin bone (tibia), and then gradually pulling the broken parts apart. This pulling slowly encourages new bone to develop in the gap. The procedure is nearly akin to stretching your bones.
The special device is normally placed outside the leg or in the bone, the patient uses. The device works to ensure that each day, the grease between the bone segments is gradually expanded, which stimulates the growth of new bone and soft tissues such as muscles and skin to stretch and grow with time.
ALSO READ: What to Do If You Accidentally Swallow Chewing Gum? Know From An Expert
How Does the Process Work?![Leg-Lengthening Surgery process 1 - 2025-09-09T120911.388]()
- The bone is allowed to rest after surgery taking a couple of days. Then the lengthening starts, and the rate is generally about 1 mm/day.
- New bone tissue grows to replace the gap that is created as the bone gradually separates.
- This period may take several weeks or months, and in the course of this period, a patient may visit the doctor frequently to check up and perform physical therapy.
After the target length, a period of healing ensues in which a new bone hardens and becomes as strong as the old one. All in all, this entire process may last months and has to be done with patience and caution.
What Are the Risks and Challenges?![Leg Lengthening Surgery risks and complications 2 - 2025-09-09T120914.923]()
- The patients must be prepared to endure pain and extended stay in hospitals and months of physiotherapy.
- Doctors caution that it is not safe to lengthen both the thigh and the shin bones simultaneously because this is a complex undertaking.
- Due to the difficulties, surgeons do not tend to recommend simultaneous lengthening of the thigh and shin bones. Rather, they work one bone at a time to limit complications.
- Leg-lengthening surgery is complicated. Pain and discomfort are common, and recovery is long.
- There are also risks of infection, nerve or blood vessel damage, and sometimes the new bone doesn’t grow properly.
- It’s also expensive, often costing tens of thousands. Patients need to be ready for a tough few months of limited mobility, physical therapy, and careful monitoring.
Should You Consider This Surgery?
When height is one of the factors that can actually make you feel less confident and have a lower quality of life, this surgery might be the procedure which should be researched. Still, it is not some cosmetic "shortcut" or immediate fix. It requires a large investment, attentive health care instructions, and expectations. It is important to have an experienced orthopaedic surgeon consulted before making the final decision. They are able to clarify the advantages, risks and what to expect when undergoing the entire treatment process.
ALSO READ: What Is Basal Cell Carcinoma? Exploring Chef Gordon Ramsay’s Skin Cancer Diagnosis After Surgery
Conclusion
It may sound extreme to break your legs in order to look taller, but this surgery to lengthen your legs is a reality for a lot of people. It provides an opportunity to grow taller, to develop a better body balance, and self-esteem. Nevertheless, it is a long, painful and expensive process. Those who thought about it must take time to know all the facts, get ready both mentally and physically and have realistic objectives of the outcome.
Also watch this video
How we keep this article up to date:
We work with experts and keep a close eye on the latest in health and wellness. Whenever there is a new research or helpful information, we update our articles with accurate and useful advice.
Current Version
Sep 09, 2025 13:39 IST
Published By : Vivek Kumar


