
Encephalitis, a severe condition that leads to brain inflammation, has emerged as a growing global health crisis. In response to the increasing number of cases worldwide, the World Health Organization (WHO) has officially declared encephalitis a global health emergency. This urgent classification aims to drive international efforts toward better prevention, diagnosis, treatment, and public awareness of the disease.
Table of Content:-
Understanding Encephalitis: A Silent Yet Dangerous Threat
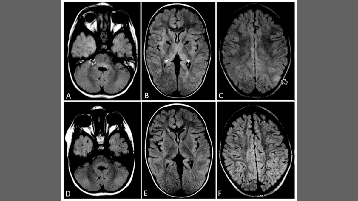
Encephalitis is a life-threatening neurological condition that results in brain swelling, often caused by viral infections, bacterial invasions, or autoimmune reactions. Symptoms can range from mild flu-like signs to severe neurological complications, including seizures, coma, and even death. The disease poses a significant risk to all age groups, but infants, elderly individuals, and those with weakened immune systems are particularly vulnerable.

WHO's Technical Brief: The Urgent Need for Action
In collaboration with Encephalitis International, WHO has released a comprehensive Technical Brief highlighting the pressing need to strengthen global responses to encephalitis. This document outlines key strategies to mitigate the impact of the disease, including:
- Enhancing Prevention Measures: Improved vaccination programs against viruses that cause encephalitis, such as measles, mumps, and Japanese encephalitis.
- Strengthening Surveillance and Data Collection: Implementing advanced monitoring systems to track encephalitis cases more accurately and identify emerging threats.
- Advancing Diagnostic and Treatment Protocols: Encouraging the development of rapid diagnostic tools and more effective treatments to reduce fatalities and long-term complications.
- Focusing on Aftercare and Rehabilitation: Providing better support for patients who suffer long-term neurological effects due to encephalitis.
- Boosting Public Awareness and Education: Ensuring that people worldwide understand the risks, symptoms, and preventive measures associated with encephalitis.
The Alarming Global Burden of Encephalitis
According to health experts, encephalitis is responsible for thousands of deaths and disabilities each year, yet it remains one of the most overlooked neurological conditions. The lack of awareness, delayed diagnosis, and inadequate treatment facilities have contributed to a rising global burden.
Also Read: Hepatitis C Outbreak Hits Uttarakhand Village With 100+ Cases—How Does It Spread?
Dr Ava Easton, CEO of Encephalitis International, emphasised the urgency of the situation, stating, "Encephalitis is an increasing global threat. Without urgent attention and investment, we will see more needless deaths and disabilities from the condition." Her statement underscores the importance of taking immediate and coordinated action to combat this silent epidemic.

Policymakers and Healthcare Professionals Urged to Take Action
WHO and Encephalitis International are calling on governments, healthcare organisations, and researchers to implement the recommendations outlined in the Technical Brief. Policymakers must prioritise funding and infrastructure improvements to ensure better access to prevention and treatment. Healthcare professionals need to be trained in early detection and management strategies, while researchers must focus on developing innovative solutions to combat the disease effectively.
Also Read: Cholera Outbreak In Sudan: 58 Dead, 1,300 Infected In Three Days; Know Symptoms To Look Out For
Public Awareness: A Key to Prevention
One of the biggest challenges in fighting encephalitis is the lack of public knowledge about the disease. Unlike other well-known neurological conditions, encephalitis does not receive adequate attention in mainstream health discussions. By raising awareness about the symptoms, risk factors, and preventive measures, communities can take proactive steps to protect themselves and their loved ones.
Bottomline
The WHO’s declaration of encephalitis as a global health emergency serves as a wake-up call for the international community. With rising cases and devastating consequences, there is no room for complacency. Immediate action from governments, healthcare systems, and individuals is crucial in preventing unnecessary suffering and loss of life.
As we move forward, the world must unite in addressing this critical health issue. By investing in research, improving healthcare infrastructure, and spreading awareness, we can work toward a future where encephalitis is no longer a silent killer but a well-managed and preventable disease.
Also watch this video
How we keep this article up to date:
We work with experts and keep a close eye on the latest in health and wellness. Whenever there is a new research or helpful information, we update our articles with accurate and useful advice.
Current Version